Tình trạng đau răng kéo dài hay sưng nướu (lợi) có thể gây nên những vấn đề nghiêm trọng hơn về sau nếu không được điều trị. Ngoài khả năng bị rụng răng, chăm sóc răng miệng kém còn làm tăng nguy cơ mắc một số bệnh nguy hiểm khác như bệnh tim mạch.
Nên nhớ rằng không nhất thiết phải xuất hiện triệu chứng nào đó bạn mới cần đi khám nha sỹ. Bạn có thể chăm sóc cho bộ răng của mình luôn khỏe mạnh và không bị sâu răng nếu đi khám bác sỹ định kỳ trước khi các triệu chứng xuất hiện.
Dưới đây là 5 dấu hiệu cảnh báo cho thấy bạn đang gặp phải một vấn đề nào đó về răng miệng:
Các vết đau, sưng, loét trong miệng có thể là triệu chứng của rất nhiều các vấn đề về sức khỏe. Một số vấn đề này có thể gây ra các bệnh về răng và lợi.
Ví dụ như các vết thương trong miệng mãi không lành lại có thể là do biến chứng của bệnh tiểu đường. Những người mắc bệnh tiểu đường sẽ rất khó có thể lành lại vết thương so với những người không mắc bệnh.
Những vết loét trong miệng có thể xuất hiện dưới dạng các đốm trắng gọi là bạch sản niêm mạc (leukoplakia) hay vết đỏ gọi là hồng ban niêm mạc (erythroplakia). Trong những trường hợp nặng, những tổn thương này có thể dẫn đến ung thư miệng.
Các triệu chứng khác bao gồm:
Bạn nên đi khám nha sỹ ngay nếu gặp phải các triệu chứng nêu trên.
.png)
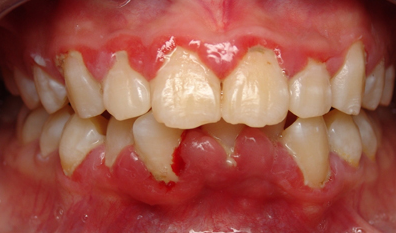
Có máu khi súc miệng trong bồn rửa mặt hoặc máu dính trên bàn chải đánh răng có thể là dấu hiệu của những vấn đề bệnh lý. Nướu khỏe sẽ không dễ bị xuất huyết trừ khi bạn chà xát răng quá mạnh khi đánh răng.
Nướu (lợi) cố định răng tại vị trí nhất định trong miệng. Nướu đóng vai trò tạo ra một hàng rào bảo vệ giữa chân răng, các dây thần kinh và mạch máu để tránh tiếp xúc với các loại thực phẩm chúng ta ăn vào. Bạn có thể bị rụng răng nếu bộ nướu của bạn không chắc khỏe.
Chảy máu hay sưng nướu có thể là dấu hiệu của bệnh nha chu hay viêm lợi. Điều đó đồng nghĩa với việc một lượng lớn vi khuẩn sản sinh trong miệng gây viêm lợi. Theo ADA, một nửa số người trưởng thành trên 30 tuổi đang bị mắc bệnh viêm lợi.
.png)
Đôi khi hơi thở có mùi có thể là do bữa ăn nhiều tỏi mà bạn vừa ăn, để giúp hết mùi bạn sẽ cần phải uống nhiều nước. Tuy nhiên, nếu tình trạng hôi miệng kéo dài mãn tính thì đây có thể là triệu chứng của:
Trường hợp bạn không bị sâu răng, nha sỹ sẽ cung cấp cho bạn những mẹo nhỏ để giúp đẩy lùi triệu chứng hôi miệng.
.png)
Răng bạn sẽ thường trải qua giai đoạn nhạy cảm với những đồ ăn nóng và lạnh sau những thủ thuật nha khoa như trám răng hoặc chụp răng. Tuy nhiên, nếu những cảm giác trên xuất hiện một cách đột ngột thì bạn sẽ cần sự can thiệp của nha sỹ ngay. Sự gia tăng nhạy cảm của răng với nhiệt độ có thể là triệu chứng của áp-xe răng trong đó vi khuẩn gây nhiễm trùng tại 1 răng hay vùng lợi ngay cạnh chân răng.
Các triệu chứng khác của áp-xe răng bao gồm đau răng dữ dội, sốt hay sưng hạch bạch huyết dưới hàm hay trong cổ. Nếu cả khuôn mặt bạn bị sưng to, hãy gọi cấp cứu ngay lập tức. Nếu không được điều trị, nhiễm trùng có thể lan ra khắp cơ thể và gây nguy hiểm đến tính mạng.
Răng bị tăng nhạy cảm với nhiệt độ cũng có thể là dấu hiệu cho thấy bạn đang bị sâu răng hay men răng đang bị bào mòn.
Đau là triệu chứng cho thấy bạn đang gặp phải một vấn đề về răng miệng nào đó. Mặc dù cơn đau có thể chấm dứt nhưng khả năng bị tái phát là rất cao. Trong trường hợp này hãy đi khám nha sỹ ngay lập tức để họ kiểm tra răng miệng cho bạn.
.png)
Rèn luyện những thói quen vệ sinh răng miệng tốt có thể mang lại nhiều lợi ích về lâu dài trong việc bảo vệ răng miệng cũng như sức khỏe nói chung. Một số lời khuyên nhỏ dưới đây có thể giúp bạn thực hiện được điều đó:
Nguồn: Viện Y học Ứng dụng Việt Nam
Bệnh viện Nguyễn Tri Phương - Đa khoa Hạng I Thành phố Hồ Chí Minh