Đau răng thường là triệu chứng của tình trạng sâu răng phát triển, đặc biệt là khi răng bị tổn thương tiếp xúc với thứ gì đó, như thức ăn. Đau răng là một triệu chứng thường gặp, và nguyên nhân đau răng có thể là do phần nướu (lợi) ở dưới răng bị sâu hoặc do bản thân chiếc răng sâu. Đôi khi bạn sẽ bị cơn đau nhói, cấp tính, nhưng đó cũng có thể là cơn đau âm ỉ, kéo dài. Cả 2 trường hợp này đều là dấu hiệu của tình trạng sâu răng.
.png)
Nếu khi bạn bắt đầu nhai bất cứ loại thức ăn nào và bạn đều cảm thấy đau, thì rất có thể răng bạn có vết nứt hoặc do răng bạn bí âu. Nếu bạn bị đau nhói, bất ngời sau khi cắn một trái táo hoặc khi nhai thức ăn, thì dây thần kinh tại răng của bạn có thể đã bị viêm và răng bạn đang trong quá trình bị sâu. Thử chạm vào khu vực bị đau sẽ giúp bạn đánh giá được mức độ nghiêm trọng của cơn đau cũng như giúp bạn quyết định được liệu bạn có cần đến gặp nha sỹ hay không. Nếu bạn chỉ cần chạm nhẹ đã cảm thấy răng mình đau thì hãy lên lịch hẹn với bác sỹ nha khoa.
Những lỗ sâu răng thường có kích thước rất nhỏ, phát triển trên bề mặt răng và trở thành cái bẫy lý tưởng đề đồ ăn và vi khuẩn mắc kẹt lại. Lỗ sâu răng được tạo ra là do axit và đường phá hủy lớp men răng và sau đó, vi khuẩn sẽ tích tụ lại tại lỗ sâu đó. Vi khuẩn có thể sẽ gây ra mùi hôi và vị lạ trong miệng. Hơi thở hôi có thể là dấu hiệu cảnh báo các bệnh về nướu (lợi) gây ra do sự tích tụ các mảng bám trên răng, gây kích ứng lợi. Nếu bạn nhận thấy hơi thở của mình thường xuyên có mùi khó chịu hoặc có vị lạ trong miệng, hãy liên lạc với nha sỹ để được đánh giá sâu hơn về tình trạng này.
Theo thống kê tại Mỹ, 80% số người trên 17 tuổi có ít nhất một lỗ sâu răng. Nếu bạn cũng thuộc nhóm này thì rất có thể bạn sẽ đặc biệt nhạy cảm với nhiệt độ tại vị trí răng bị tổn thương. Các lỗ sâu răng thường gây ra tình trạng đặc biệt nhạy cảm với nước nóng/lạnh và đồ ăn nóng/lạnh, do vậy, khiến việc ăn uống của những người bị sâu răng trở nên không thoải mái và đau đớn. Mỗi chiếc răng đều có một sợi dây thần kinh bên trong và cũng có nguồn máu cung cấp đến răng, giúp răng phát triển và thực hiện chức năng mình thường. Khi lỗ sâu phát triển lớn hơn, và sâu hơn, dây thần kinh sẽ có khả năng bị lộ ra ngoài, và do vậy, bạn sẽ cảm nhận thấy sự thay đổi nhiệt độ dễ dàng hơn.
Lỗ sâu răng hình thành khi có sự tích tụ vi khuẩn trong miệng, thường là do vệ sinh răng miệng kém. Ở người có sức khỏe răng miệng tốt, vi khuẩn, thức ăn thừa và nước bọt có thể tích tụ lại và hình thành mảng bám. Mảng bám là chất màu trắng, dính, có thể tích tụ lại trên răng là điều hoàn toàn bình thường. Tuy nhiên, mảng bám sẽ trở nên bất thường khi bám trên răng nhiều ngày. Khi đó, mảng bám sẽ bắt đầu trở nên cứng hơn và trở thành cao răng. Cao răng cùng với vi khuẩn sẽ bắt đầu phá hủy phần lõi của răng và tạo ra lỗ sâu răng. Sự phá hủy này có thể gây ra những triệu chứng về mặt cơ năng dễ thấy. Nếu bạn nhận thấy mình bị đau răng hoặc khó chịu ở một chiếc năng nào đó khi ăn, hãy kiểm tra xem có lỗ sâu răng hay có vùng nào nhạy cảm của chiếc răng đó không. Sau đó, hãy đến nha sỹ để lỗ sâu răng được hàn lại.
.png)
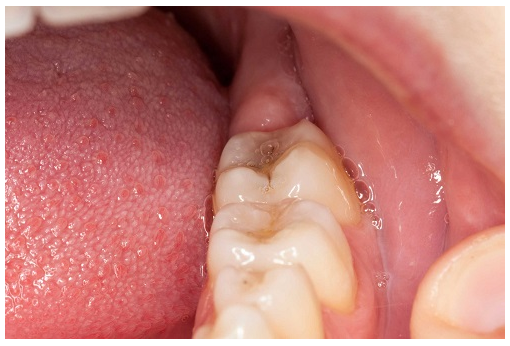
Trong khi một số lỗ sâu sẽ xuất hiện trên bề mặt răng dưới dạng áp xe hoặc lỗ hổng, một số khác sẽ trông như những đốm màu hoặc vết bẩn trên bề mặt của răng bị sâu. Dấu hiệu sâu răng cũng có thể là đốm màu đen, nâu hoặc trắng ở trên răng. Nếu những đốm màu này mềm hoặc dính, thì đó là dấu hiệu cho thấy lỗ sâu răng đang phát triển. Trong một số trường hợp, lỗ sâu răng có thể khiến toàn bộ chiếc răng tối màu hơn và làm tăng nguy cơ răng bị gãy, vỡ. Nếu bạn nhận thấy có những đốm màu lạ hoặc đổi màu trên răng, hãy đến gặp nha sỹ để được đánh giá tình trạng sâu răng.
Sâu răng có thể gây ra tình trạng chảy máu khi chải răng do các dây thần kinh tại răng bị tổn thương, gây kích thích lợi. Thường xuyên chảy máu khi chải răng là dấu hiệu cho thấy các rối loạn về lợi hoặc là triệu chứng của tình trạng sâu răng nghiêm trọng. Nếu bạn có lỗ sâu lớn gần vùng lợi, bạn có thể sẽ có rất nhiều thức ăn tích tụ tại đây và gây ra các vấn đề về lợi. Lỗ sâu răng lớn cũng có thể gây ra tình trạng chảy máu khi chải răng.
Sưng tại lợi có thể là một triệu chứng của tình trạng sâu răng, mặc dù tình trạng sưng có thể sẽ không gây đau đớn. Nếu bạn có lỗ sâu răng rất sâu, nó có thể gây tổn thương hoặc hoại tử dây thần kinh và điều này sẽ gây ra tình trạng nhiễm trùng tại dây thần kinh đó, dẫn đến sưng lợi. Một số người cảm thấy lợi mình bị sưng nhưng lại không thấy đau, nhưng đó vẫn là tình trạng nhiễm trùng. Hãy liên lạc với nha sỹ nếu bạn nhận thấy một vùng lợi của mình bị sưng vì đó có thể là dấu hiệu của sâu răng hoặc viêm lợi.
Nếu bạn cảm thấy mình bị đau răng khi máy bay cất cánh hoặc khi lặn sâu dưới đáy biển thì đó có thể là do bạn bị sâu răng. Thay đổi áp suất có thể gây kích thích dây thần kinh tại răng bị sâu, gây ra cơn đau âm ỉ hoặc đau dữ dội và cảm giác khó chịu. Nếu bạn cảm thấy có cơn đau bất thường xảy ra trong trường hợp này, bạn nên đến khám nha sỹ để phát hiện ra tình trạng sâu răng trước khi tình trạng này phát triển. Hàn răng sâu trong giai đoạn sớm sẽ giúp dự phòng được tình trạng sâu răng phát triển và làm giảm nhẹ được các triệu chứng mà bạn mắc phải.
Nguồn: Viện Y học Ứng dụng Việt Nam
Bệnh viện Nguyễn Tri Phương - Đa khoa Hạng I Thành phố Hồ Chí Minh