Không đúng??? Có thể bạn sẽ thấy ngạc nhiên là nhìn màn hình máy tính quá lâu khiến mắt khô và mệt mỏi thậm chí là đau đầu nhưng người ta vẫn chưa tìm ra được những bằng chứng rằng việc đó có tổn hạn đến mắt hay không.
Nhưng để đề phòng những tác động không tốt của của việc nhìn màn hình máy tính lâu thì bạn có thể thực hiện thao cách sau đây: thuân theo luật 20-20-20 nghĩa là cứ 20 phút bạn lại cho mắt nghỉ ngơi, rời mắt khỏi màn hình máy tính và tập trung mắt nhìn một vật cách khảng 5 mét (20 feet) trong vòng 20 giây rồi lại tập trung vào công việc của bạn.
Sai. Có thể bạn không chú ý đến việc thị lực của bạn kém đi nhưng thực ra lúc đó mắt của bạn đã và đang chịu những thương tổn rồi. Những bệnh mắt nguy hiểm sẽ xuất hiện theo độ tuổi như glocom ( tăng nhãn âp), đục thủy tinh thể, thoái hóa điểm vàng thường bắt đầu xuất hiện vào độ tuổi trung niên. Hãy đi khám mắt khoảng 1-2 năm một lần đó là cách tốt nhất để kiểm soát vấn đề về thị lực.
Thực ra là không việc nào ảnh hưởng đến mắt cả. Có thể là bạn nghĩ xem ti vi trong bóng tối hay ngồi gấn sát với màn hình máy tính sẽ khiến hỏng mắt nhưng mắt chúng ta có thể tự điều chỉnh được khoảng cách và ánh sáng. Còn đeo kinh đọc sách thì chắc chắn là tốt rồi trừ khi bạn mua một đôi kính quá tệ và chất lượng kém.
.png)
Không đúng đâu vì người ta chưa chứng minh được xem phim hay chơi game 3 D làm cho thi lực giảm. Bạn có thể bị đau đầu hoặc say khi chơi game hoặc xem phim 3D nhưng những dấu hiệu đó chỉ là nhất thời nếu bạn không xem nữa hoặc không chơi nữa thì những triệu chứng đó sẽ không xuất hiện.
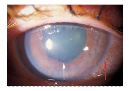
Sai. Nếu bạn nhìn thấy quầng sáng quanh đền thì đó thuộc về những nghiêm trọng hơn như đục thủy tinh thế, tăng nhãn áp, cả hai bệnh này đều có thể dẫn tới mù lòa. Khi thấy xuất hiện dấu hiệu này các bạn cần đi khám bác sỹ để được điều trị sớm và kịp thời.
.png)
Đúng. Kính chống nắng không chỉ là thể hiện phong cách thời trang nó còn giúp bảo vệ đôi mắt bạn. Ánh sáng mặt trời có thể làm tăng nguy cơ mắt bị đục thủy tinh thể và thoái hoá điểm vàng, tổn thương võng mạc nếu như nhìn thẳng vào mặt trời.
Vậy làm thế nào để chọn được cặp kính chống nắng tốt? màu mắt kính không quan trọng, hãy lựa chọn loại kính có thể chặn được 100% tia UVA và UVB và mắt kinh phải che hết được cả mắt bạn.
Nếu bạn hút thuốc khi bạn còn trẻ thì bạn sẽ có nguy cơ đục thủy tinh thể sớm trước tuổi. Bên cạnh đó khói thuốc có thể làm trần trọng thêm các bệnh về mắt khác. Vì vậy hãy bỏ thuốc lá càng sớm càng tốt.
Nếu có khoảng trống ngay tại trung tâm của tầm nhìn thì nghĩa là bạn đang có dấu hiệu của bệnh thoái hóa điểm vàng, là một trong những bệnh ở tuổi già và là nguyên nhân hàng đầu gây giảm thị lực ở người cao tuổi.
.png)
Bạn không thể kiểm soát được gen hay sự lão hóa nên theo thời gian thị lực của bạn cũng giảm đi. ban sẽ cần tới kính khi đọc sách hoặc gặp khó khăn khi lái xe vào đêm. Nhưng nếu bạn cải thiện được lối sống, thói quen thì những vấn đề thị lực có thể diễn ra muộn hơn và từ từ hơn. Những thói quen tốt cho mắt đó là ăn đủ chất, không hút thuốc, đeo kính chống nắng và đi kiểm tra mắt thường xuyên.
Nguồn: Viện Y học Ứng dụng Việt Nam
Bệnh viện Nguyễn Tri Phương - Đa khoa Hạng I Thành phố Hồ Chí Minh